Structural Heart Disease
Frontier Explorer
STRUCTURAL HEART DISEASE
In August 16, 2020, in Wuhan during the post-pandemic era, the team led by Professor Dong Nianguo from Union Hospital, Tongji Medical College, Huazhong University of Science and Technology (hereinafter referred to as Wuhan Union Hospital), in collaboration with the team led by Academician Ge Junbo from Zhongshan Hospital Affiliated to Fudan University, successfully performed a minimally invasive clipping surgery on an elderly patient with severe mitral regurgitation using the transapical mitral valve clip system (ValveClamp) developed by Shanghai HanYu Medical Technology Co., Ltd. This surgery marked the first inter-regional collaboration between Shanghai and Hubei in the post-pandemic era. Prior to this, the team led by Professor Dong Nianguo from Wuhan Union Hospital had already completed transcatheter interventional replacement surgeries for the four major heart valves in central China. This time, it was the first transcatheter mitral valve interventional repair surgery in the field of cardiac surgery in central China. The success of the surgery demonstrated the strong surgical efficacy and excellent device performance of ValveClamp, which continues to forge ahead on the path of saving lives.

(The team led by Professor Dong Nianguo and the team led by Academician Ge Junbo performing the surgical operation under the echocardiographic guidance of the team led by Professor Xie Mingxing from the Echocardiography Department)
The patient in this case was an elderly male with multiple comorbidities. Preoperative echocardiography showed prolapse and flail of the posterior mitral leaflet (P2) accompanied by severe mitral regurgitation. The surgery was performed under transesophageal echocardiographic guidance, with the implantation of one Type IIIs mitral valve clip. Immediately after the surgery, mitral regurgitation disappeared, and the catheter operation time was less than 20 minutes, resulting in the successful completion of the surgery.

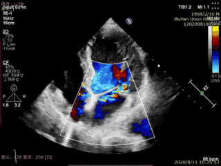
Preoperative echocardiogram

Postoperative echocardiogram
Transcatheter mitral valve therapy is the most promising and cutting-edge transcatheter valve therapy technology following transcatheter aortic valve replacement (TAVR), and it has gradually developed worldwide. Among such technologies, ValveClamp is the first minimally invasive interventional therapy device for mitral valve diseases independently developed in China that has entered pre-marketing clinical trials. The surgery using this device is an ultra-minimally invasive procedure performed "on a beating heart". It features minimal trauma, no need for cardiac arrest or cardiopulmonary bypass, thus offering higher safety. It is particularly suitable for elderly patients who cannot tolerate traditional open-heart surgery.
At present, ValveClamp has been applied in more than ten authoritative cardiac centers in China. We look forward to more patients with mitral valve diseases being able to receive this minimally invasive treatment.