Structural Heart Disease
Frontier Explorer
STRUCTURAL HEART DISEASE

Recently, Professor Wei Lai, Professor Zhou Daxin from the Heart Institute of Zhongshan Hospital Affiliated to Fudan University, and Professor Pan Cuizhen from the Echocardiography Department completed a case of atrial functional mitral regurgitation (AFMR). The operation process was smooth and the effect was perfect. The catheter operation time was less than 20 minutes, the total operation time was less than 50 minutes, and there was mild mitral regurgitation after the operation. The case results are presented as follows:
Case Introduction
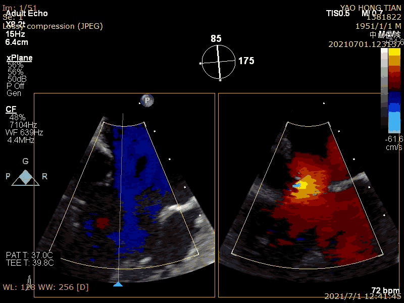
Patient: Male, 70 years old. Preoperative ultrasound diagnosis: Left ventricular ejection fraction (LVEF) 58%, left ventricular end-diastolic diameter (LVDD) 52mm, left atrial diameter (LAD) 57mm, pulmonary artery systolic pressure (PASP) 63mmHg. Severe mitral regurgitation caused by mitral valve leaflet malalignment, vena contracta (VC) 6*13mm, regurgitant area 19.8cm² (Figures 1-2).

Preoperative massive regurgitation (VC 6*13mm)

Massive regurgitation at A2P2 caused by leaflet malalignment
Operative Process

Valve capture

Effect evaluation after half-clipping

Effect evaluation after complete clipping

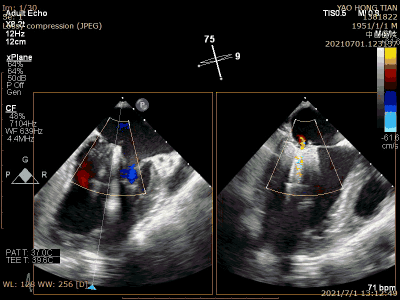
Final effect (mild regurgitation), maximum/mean pressure difference: 4/1mmHg
Summary and Discussion
Among the etiological components of mitral regurgitation, functional regurgitation is more common, which is 3-4 times that of organic regurgitation (Am Heart J. 2018; 203:39-48.). Atrial functional mitral regurgitation (AFMR) is also very common in functional regurgitation, and the author estimates that it can account for 40%. The results of this case show that ValveClamp has a good effect on AFMR, with simple operation, catheter operation time less than 20 minutes, total operation time less than 50 minutes, and mild regurgitation after operation. It is particularly mentioned that the regurgitation range in this case reaches 13mm, and the regurgitation is multi-beam. One ValveClamp clip achieves a perfect effect, while other products may require 2-3 clips, which fully reflects the design advantage of ValveClamp of "treating large problems with small means". Using only a single clip can reduce the difficulty and time of the operation and the cost of consumables.