结构性心脏病
前沿探索者
STRUCTURAL HEART DISEASE
近日,青岛大学附属医院心外科常青教授团队再度突破技术壁垒,为一名病情复杂的功能性二尖瓣反流(混合性MR)患者成功实施经心尖二尖瓣缘对缘修复术(TA-TEER)。该患者术前不仅植入多枚支架,且心功能严重受损(低射血分数),属于临床治疗中的高危难题。手术中,团队凭借精准的术前评估、娴熟的介入操作,实现了二尖瓣反流的理想修复。术后患者反流症状完全消失,心功能恢复良好。此次手术的成功,不仅为同类高危患者提供了有效治疗路径,更标志着青岛大学附属医院在二尖瓣反流介入治疗领域的技术水平再攀新阶。

术中剪影
【患者信息】男性,69岁。
【主 诉】 活动后胸闷、憋气2月余。外院就诊检查提示二尖瓣关闭不全,经药物治疗效果欠佳且症状未缓解,遂入青岛大学附属医院进一步治疗。
【既 往 史】患者罹患高血压病史30余年,冠心病10余年,曾于2016年、2020年两次接受冠脉支架植入术,2023年植入心脏起搏器,长期规律服用抗血小板及调脂药物。此外,术前评估心功能显著下降,左室射血分数(EF)仅20%,提示心功能严重受损。(入院青岛大学附属医院经GDMT药物优化治疗6周后EF值提升至27%)。
【诊 断】二尖瓣重度关闭不全,三尖瓣中度关闭不全,多支冠状动脉支架植入后不同程度狭窄状态,高血压病2级(极高危),冠状动脉粥样硬化性心脏病,具有心脏起搏器。
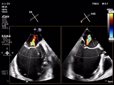
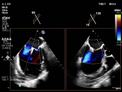
【术前超声心动图提示】
室性功能性二尖瓣反流(混合性MR),重度(MR 5+),反流位于2区–3区,左室射血分数低(EF27%)




【瓣膜与功能特点】


前超声评估明确关键指标:二尖瓣瓣环呈扩张状态(前后径约3.3cm,瓣环面积约4.75cm²,前叶长约2.1 cm,后叶长约1.4 cm),瓣叶增厚且后叶栓系明显,前后叶对合不良;同时伴左房、左室明显扩大,左室收缩功能显著减低,合并节段性运动异常。经团队综合评估,该患者为“多支冠脉支架植入后+低射血分数+重度功能性二尖瓣反流(混合性MR)”的高危病例,左室射血分数(EF)仅20%,在接受GDMT药物优化治疗6周后EF值提升至27%,但症状仍无法有效缓解,遂决定为其实施经心尖入路二尖瓣缘对缘修复术(TA-TEER)。
难点:
1. 左心室扩大:舒张末期内径7.2cm、收缩末期6.2cm,提示左室显著增大;
2. 心功能改善但仍偏低:入院时左室射血分数(LVEF)20%,经规范药物治疗(GDMT)6周后升至27%,术后进一步提升至35%;
3. 瓣膜问题:二尖瓣后叶严重栓系,导致术中捕获难度增加。
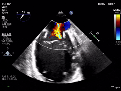
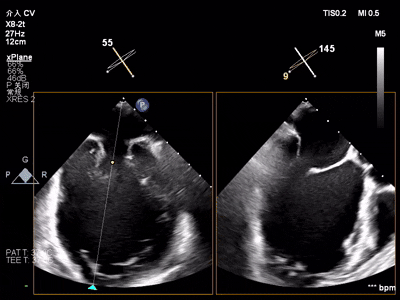
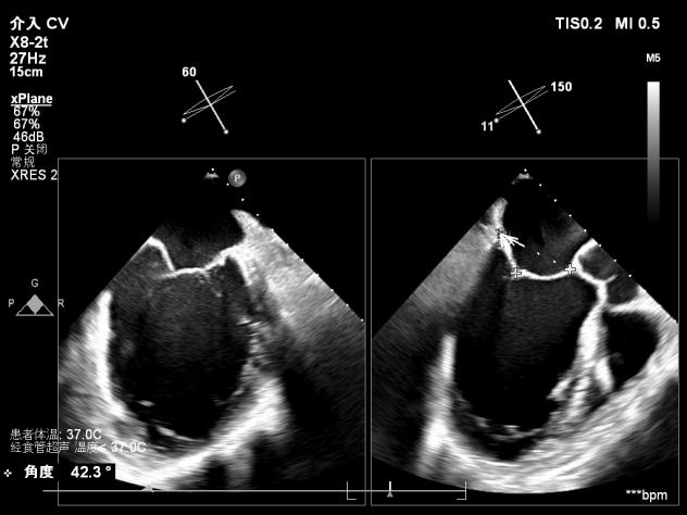
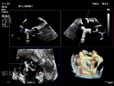
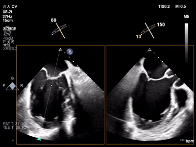
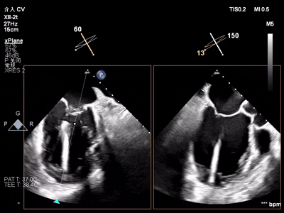
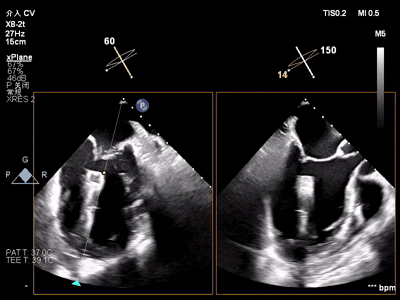
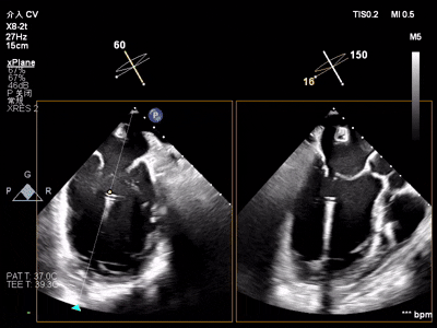
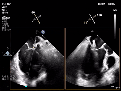
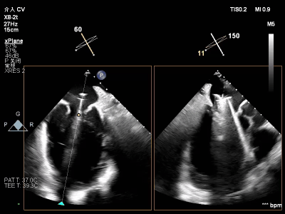
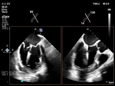
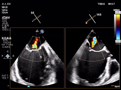
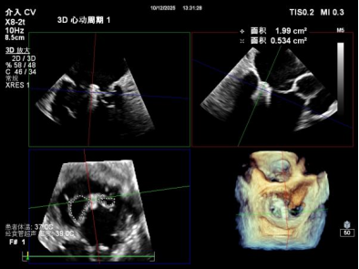
【术中操作(含关键步骤超声)】
鉴于患者术前心功能差、多支架植入的特殊情况,手术全程需兼顾“精准操作”与“保护心功能”双重要求:在全麻与经食道超声的协同引导下,团队先突破心功能受损导致的术野稳定性难题,稳步经心尖建立手术轨道与输送鞘;随后聚焦二尖瓣2偏3区精准置入一枚Ⅱf型夹合器,成功攻占这一解剖位置深、毗邻结构敏感、容错率极低而操作难度陡增的区域。












手术中,主刀术者常青教授稳定发挥,经过严谨的策略思索,挑战超精细微调整与瞬间捕获夹合,逐步逆转反流症状。从显著改善到最终完全消除,全程仅约25min的导管操作时长。在高危病例的严苛挑战下,凸显了团队操作的娴熟度与安全性。


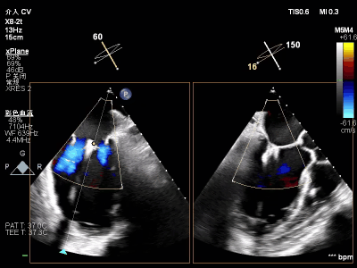
术前术后反流对比



【术后一周复查心超提示】二尖瓣钳夹术后,二尖瓣反流(轻度),夹合器固定,瓣口呈双孔结构,内外侧孔分别见微量反流,反流束VC分别 0.15cm、0.18cm,估测有效瓣口面积约2.5c㎡,舒张期瓣口前向最大血流速度 1.2m/s,平均压差3mmHg,左室射血分数(EF)值提升至35%,心功能显著改善。目前患者已顺利康复出院。
【技术领航破局,守护每颗“心”健康】
ValveClamp®经心尖二尖瓣缘对缘修复(TEER)手术是一种微创二尖瓣修复技术,通过心尖小切口完成,具有纯超声引导、无辐射、创伤小、恢复快的优势,尤其适合高龄、高危或外科手术禁忌的二尖瓣反流患者。其直接路径设计使操作更精准,术中影像引导确保夹合器准确放置,能显著减少反流并避免开胸和体外循环风险,尤其针对高龄高危、交界病变、连伽高度高的患者以及栓系角度大的 FMR功能性反流患者获益优势显著。患者通常术后数天即可出院,短期疗效可靠,同时保留后续治疗选择,成为高风险或复杂解剖结构患者的理想治疗方案。
此次TA-TEER手术的成功,绝非单一技术操作的突破,而是青岛大学附属医院心外科团队在高危复杂病例诊疗中“全流程精准把控”能力的集中彰显——从术前针对“多支冠脉支架植入+EF仅27%+重度混合性MR”三重高危因素的综合评估,到近2个月GDMT药物优化治疗的耐心铺垫;从术中全麻与经食道超声的协同护航,到攻克二尖瓣2偏3区解剖难题、精准植入Ⅱf型夹合器的25分钟高效操作;再到围术期对心功能脆弱患者生命体征的严密监测与风险预判,每一步均体现了团队在诊疗策略、技术操作与安全管理上的严要求、高水准。这不仅为国内同类高危功能性二尖瓣反流患者开辟了“可复制、更安全”的治疗新路径,更打破了“低射血分数+多支架植入”患者的手术禁区,为心血管介入治疗领域的复杂病例诊疗提供了宝贵临床范式。
【术者简介】

常青,主任医师,医学博士,博导、硕导,青岛大学附属医院心外科副主任兼西海岸病区主任,青岛大学医学部专业外语教研室副主任,青岛大学卓越人才,青岛市优秀青年临床医学专家,青岛市西海岸拔尖人才,山东省医师协会心外科分会常务委员,山东省医师协会大血管疾病分会常务委员,中国研究型医院协会心脏瓣膜病专业委员会常委,中国研究型医院协会心房纤颤专业委员会常委,欧美同学会医师协会大血管疾病分会全国委员兼宣传部主任,山东省疼痛医学会心脏大血管疾病专业委员会副主任委员,中国研究型医院协会山东省心血管外科分会常委,山东省医师协会心力衰竭委员会常委。
擅长瓣膜病、冠心病、大血管疾病和先心病的外科治疗和围术期处理,擅长胸腔镜和各种小切口微创心脏手术。擅长微创瓣膜成形手术。开展山东省首例loop技术腱索重建二尖瓣成形,开展山东省首例风湿性心脏病二尖瓣修复术,在山东省率先开展感染性心内膜炎瓣膜修复手术,山东省最早独立开展经心尖TEER,山东省首例开展经右胸TEER,山东省首例完全超声引导经股TEER,山东省首位 TEER 带教专家。团队目前做到TEER 入路全覆盖(经心尖 经右胸 经股)和二尖瓣病变区域全覆盖(二尖瓣六个分区、两个交界),并且主持在研省部级和地厅级课题7项,发表论著40余篇,SCI收录20余篇,培养研究生30多名,包括外籍研究生1名。
2008-2009年美国哈佛大学医学院附属麻省总医院和Brigham and women 医院访问学者。2011年美国HCA医疗集团Centennial医学中心和范德堡大学医学中心访问学者。2015年8月新加坡国立大学医院访问学者。