结构性心脏病
前沿探索者
STRUCTURAL HEART DISEASE
近日,浙江大学医学院附属第一医院心脏大血管外科马量教授和赵海格教授团队,运用国产ValveClamp®系统,成功为一名80岁高龄原发性二尖瓣反流患者完成一例高难度交界病变的经心尖二尖瓣缘对缘修复术(TA-TEER)。此次手术通过微创心尖入路精确夹合二尖瓣脱垂瓣叶,不仅顺利减轻了重度瓣膜返流,还有效保障了患者术后心功能,术后恢复良好,充分展示了TA-TEER技术在高龄及复杂病例中的临床应用潜力。
患者基本情况
女性,80岁
主诉:胸闷2月余,活动后明显;夜间平卧困难;喘憋1月加重半天。
现病史:今年7月28日在外院检查心超提示双房增大、室间隔增厚、肺动脉压54mmHg,病情控制不佳;1个月前出现气促和喘憋,半天前症状明显加重。
既往史:高血压病史30余年,口服络活喜5mg血压控制可。
术前评估&诊断
术前检查提示:二尖瓣关闭不全(重度),左房扩大、右房增大,三尖瓣关闭不全(中度),心房颤动、慢性心力衰竭,冠状动脉粥样硬化,肺部感染及胸腔积液。
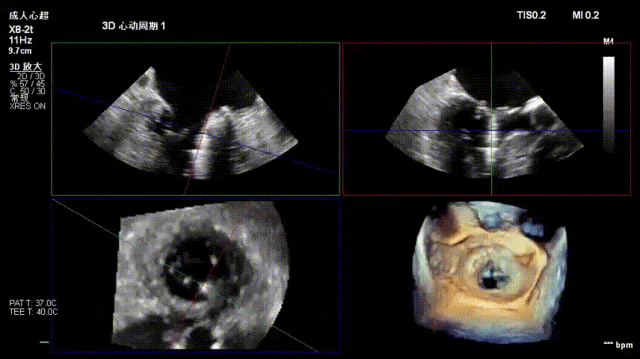
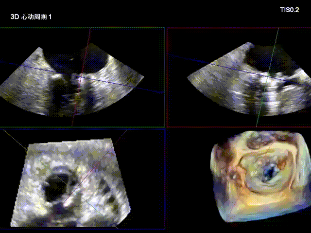
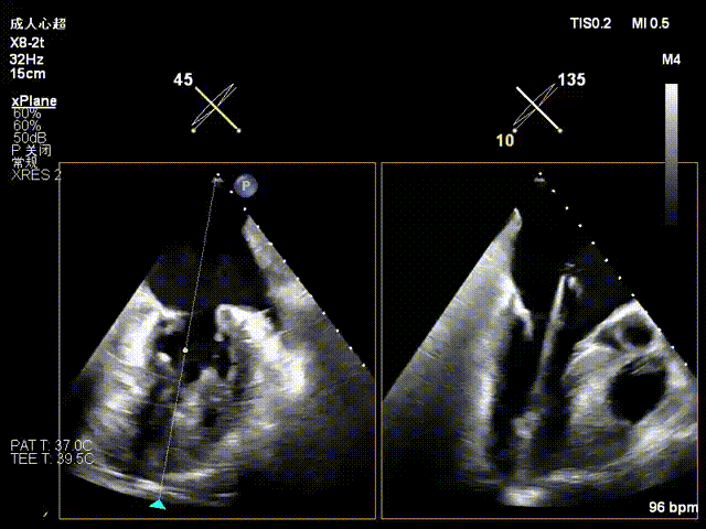
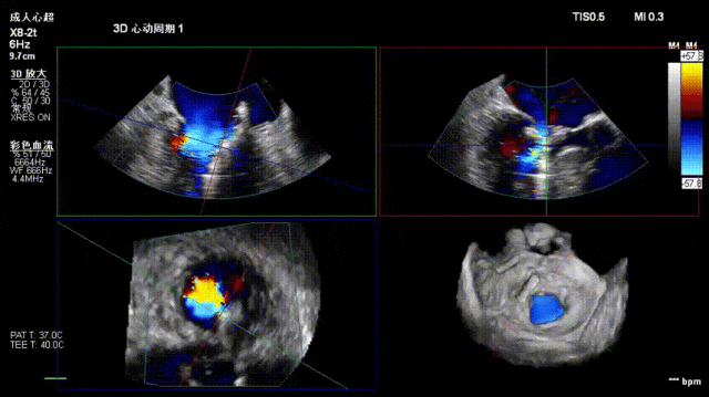
术前经食道超声显示:二尖瓣C1、P1区脱垂,重度关闭不全,彩色多普勒提示大量二尖瓣反流。术前瓣口面积MVA约5cm²,瓣环前后径AP约36.9mm,前叶A1约26mm,后叶P1约15.2mm。
经过综合评估,团队决定采用经心尖TEER手术进行微创干预。



术中操作
患者全麻后仰卧位,常规消毒铺巾,置入下食道超声探头。于左前胸第五肋间做小切口,暴露心尖,全身肝素化后,心尖穿刺,逐步送入二尖瓣夹系统。术中在超声引导下,分别于C1及A1/P1区植入2枚ValveClamp®二型(MVC-Ⅱf)二尖瓣夹,夹合后超声显示二尖瓣反流明显减轻,随即释放夹子。术后置左侧胸腔引流管1根,逐层关闭胸壁,患者顺利转入ICU观察。
心尖穿刺,送入导丝
送入16F鞘
跨瓣器送入左室,并跨瓣进入左房
16F鞘沿着跨瓣器送入左房,撤出跨瓣器
在左房打开上夹
调整好夹子位置钟向后,在左室打开下夹,捕获夹合瓣叶
将夹子收入闭合环
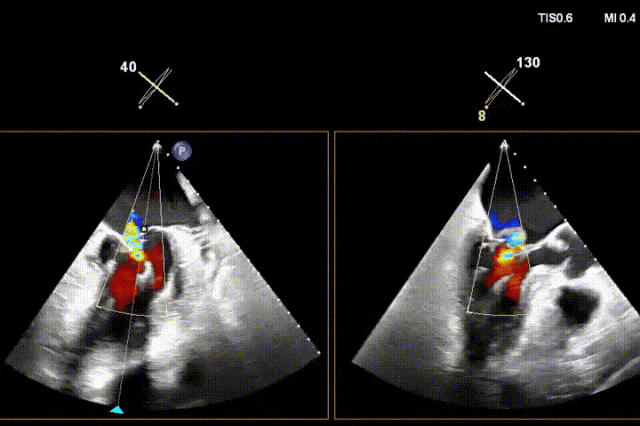
评估夹合效果
评估后决定双夹,解离释放第一枚夹子
一夹后图像,残余反流位于2区
跨瓣器避过一区夹子,再次跨瓣进入左房
16F鞘送入左房
在左房打开上夹,调整好位置角度后在左室打开下夹
确认夹子位于反流区
捕获夹合瓣叶1
捕获夹合瓣叶2
收紧夹子并确认夹合效果
评估后解离释放夹子
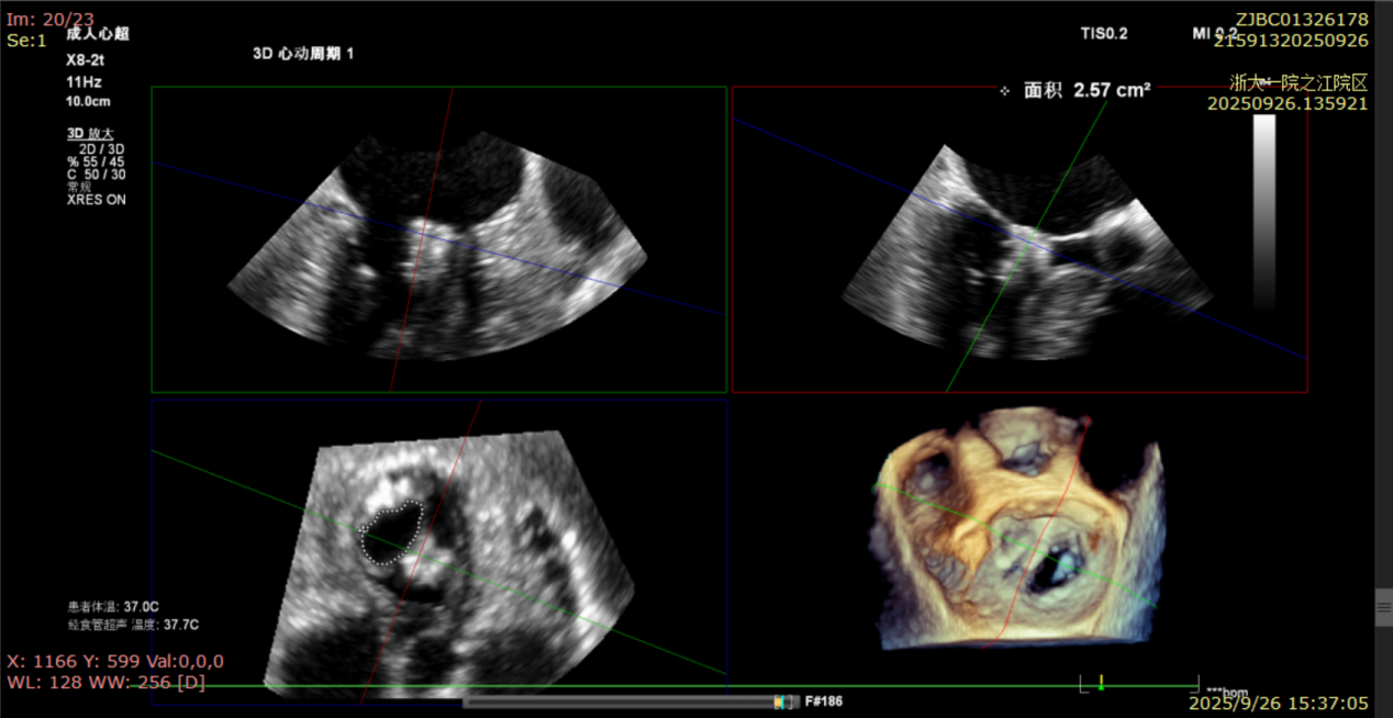
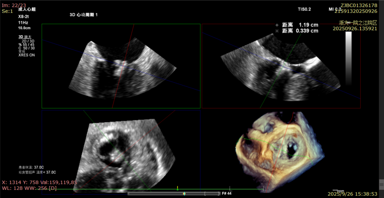
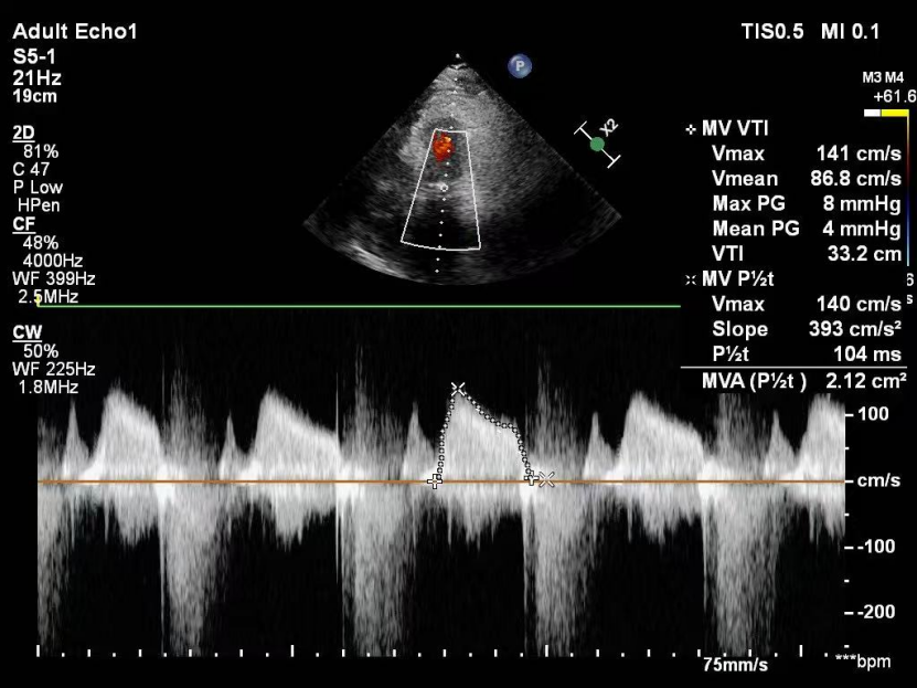
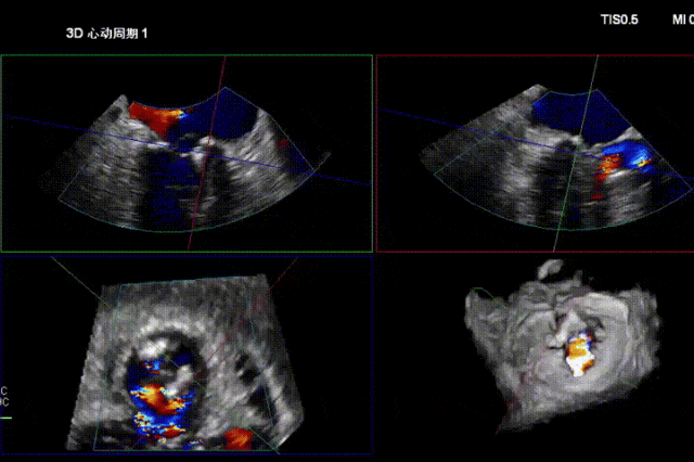
术后影像及效果
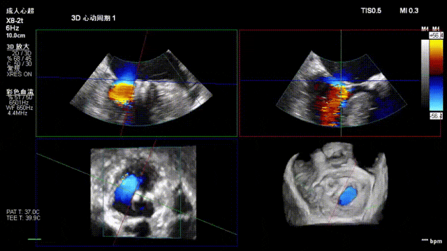
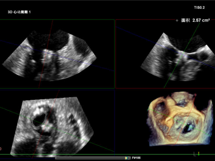
术后即刻反流降为少量,剩余瓣口面积2.57cm²,平均跨瓣压差2mmHg。



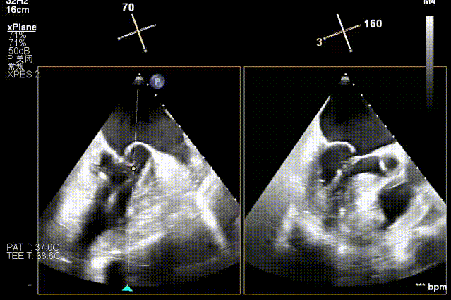
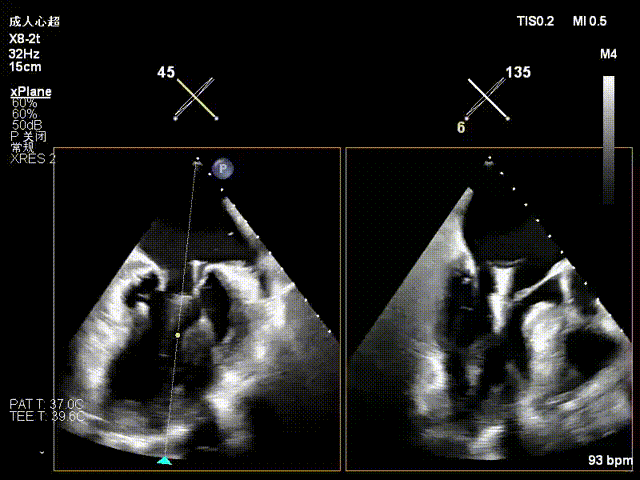
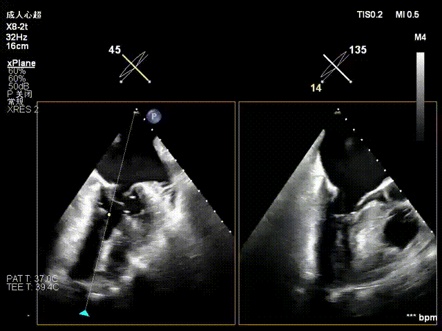
术后复查超声心动图显示:二尖瓣轻度返流,三尖瓣中度返流,二尖瓣可见金属夹回声,启闭正常;各心室大小正常,升主动脉不宽,主瓣回声增强,启闭良好;二尖瓣舒张期峰值流速1.4 m/s,功能面积2.1 cm²,跨瓣平均压差约4 mmHg。
术后心功能改善明显:LVdD 46mm,FS 33%,LA 45mm,LVDs 31mm,LVEF 62%。
患者术后症状明显缓解,胸闷和喘憋改善,恢复情况良好。

术后30天

马量,浙江大学医学院附属第一医院心脏大血管外科主任、心脏移植中心主任,博士生导师,瑞士洛桑大学医学院博士学位获得者。国家重点专科心脏大血管外科学科带头人,中国外科医生最高荣誉“金刀奖”获得者。
担任中国心血管病专家委员会微创心血管外科专业委员会(CMICS)常委、中华医学会胸心血管外科分会全国委员、亚洲瓣膜病学会副主委、浙江省医学会胸心外科学分会主任委员、浙江省医师协会心血管外科分会会长等多项学术任职,同时为中国医师协会机器人外科医师分会委员、器官移植分会委员等。
从事心胸外科临床工作30余年,累计完成心脏外科手术超万例,在成人瓣膜病、冠心病、主动脉疾病、先天性心脏病、心脏肿瘤、房颤及心脏移植等方面经验丰富。尤其在微创心脏外科领域造诣突出,带领团队使医院微创二尖瓣手术量位居全国前列(2020年排名全国第二),连续五年举办全国心脏微创瓣膜手术直播演示。在心脏移植领域成绩显著,主刀百余例,其中包括全国最高龄(78岁)心脏移植及全国首例心肌淀粉样变心肝联合移植,主动脉阻断时间创全国最短纪录。
主持国家自然科学基金项目2项,浙江省重点研发项目1项,参与多项国家重点研发计划;发表SCI论文60余篇,获授权专利2项,荣获浙江省科技进步二等奖、浙江省医药卫生科技二等奖等多项科研奖励。
擅长心脏移植、主动脉瘤(夹层)的外科诊治,微创心血管手术,冠心病冠脉搭桥,介入瓣膜技术应用。

赵海格,浙江大学医学院附属第一医院心脏大血管外科主任医师,博士生导师,美国约翰霍普金斯大学医学院博士后。浙江大学医学院附属第一医院心脏大血管外科副主任,心脏移植中心副主任,国家微创心血管外科专业委员会委员,浙江省生物医学工程学会体外循环专业委员会主任委员,中华志愿者协会中西医结合专家志愿者委员会心外科专业组副组长,中国心胸血管麻醉学会体外生命支持分会委员,欧美同学会医师协会大血管病全国委员,亚洲心脏瓣膜病学会中国分会会员。美国克利夫兰医学中心高级访问学者,纽约长老会医院高级访问学者。2021年获中国微创心血管外科学会举办的第二届中国微创瓣膜大赛全国第一名。擅长微创心脏外科,危重瓣膜病,冠心病的外科治疗,成人先天性心脏病,大血管疾病,以及心脏移植,人工心植入。
浙大一院心脏大血管外科由全国知名教授石华玉创建于1949年,是浙江省最早创建的心脏大血管外科,2011年被评为国家临床重点专科。目前拥有3个病区80张床位,年手术量超过1600台,拥有百级层流手术室、复合杂交手术室等国内顶尖设备,已成为综合实力居省内第一、国内先进水平的集教学、科研、医疗于一体的现代化心脏大血管外科。