结构性心脏病
前沿探索者
STRUCTURAL HEART DISEASE
近日,重庆市人民医院心血管外科陈灏教授团队成功独立完成一例ValveClamp®经心尖二尖瓣缘对缘修复术(TEER),顺利救治一位81岁重度二尖瓣反流高龄患者。此次高难度经心尖TEER手术的独立完成标志着医院在结构性心脏病微创介入治疗领域取得了阶段性进展。

患者基础信息
男性,81岁。
主诉:活动后心累、气促1年,加重1月
术前诊断:心功能不全;心功能III级;二尖瓣重度关闭不全;心脏扩大
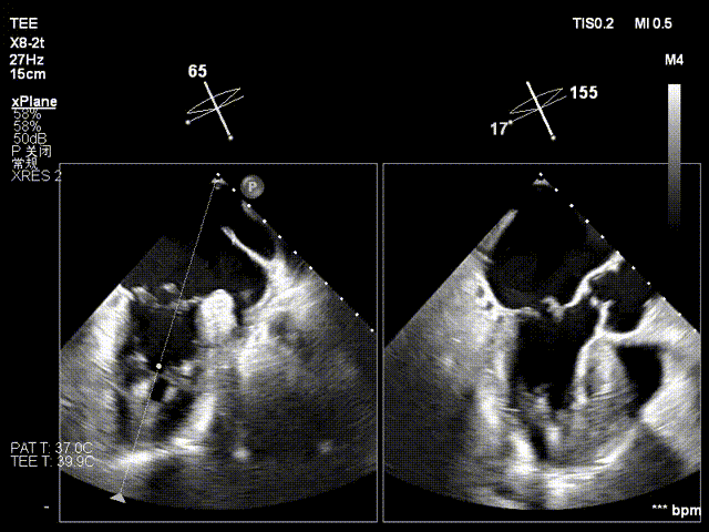
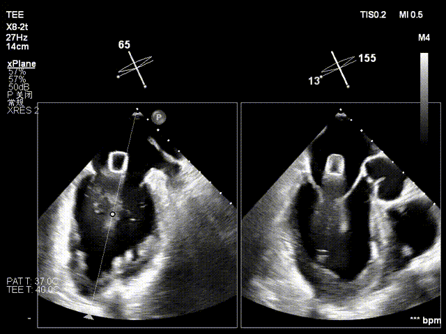
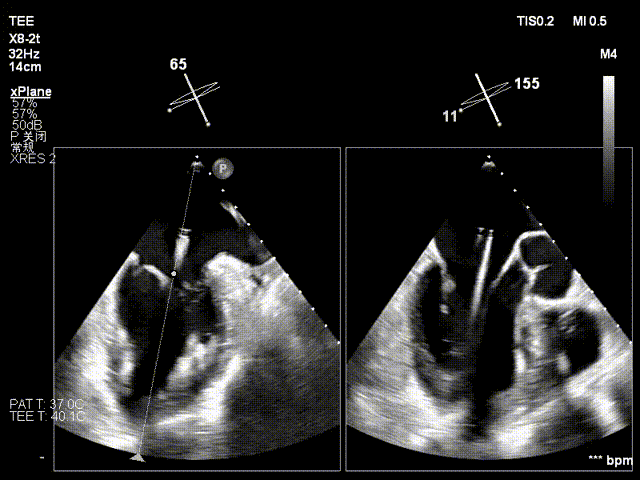
术前心超提示:
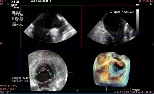
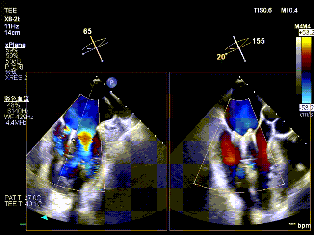
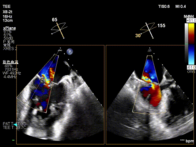
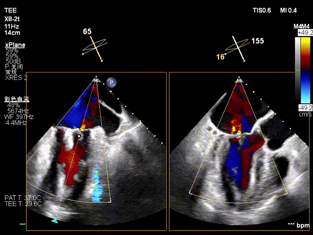
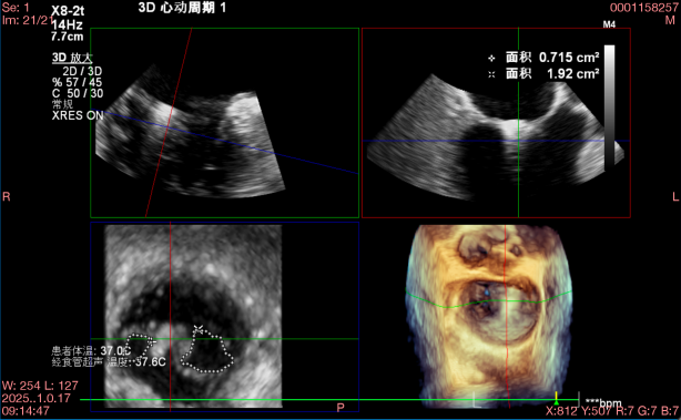
退行性二尖瓣反流(DMR),A2-A3脱垂伴连枷样运动(脱垂范围:17mm,连枷间距:7mm),P3脱垂,反流主要位于2-3区,MR重度4+(VC:6*17 mm),A3:18mm,P3:9mm,A2:24mm,P2:14mm,AP:32mm,二尖瓣口面积MVA约 5.6cm²,左房、左室明显扩大。





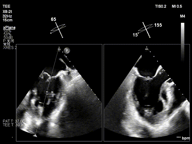
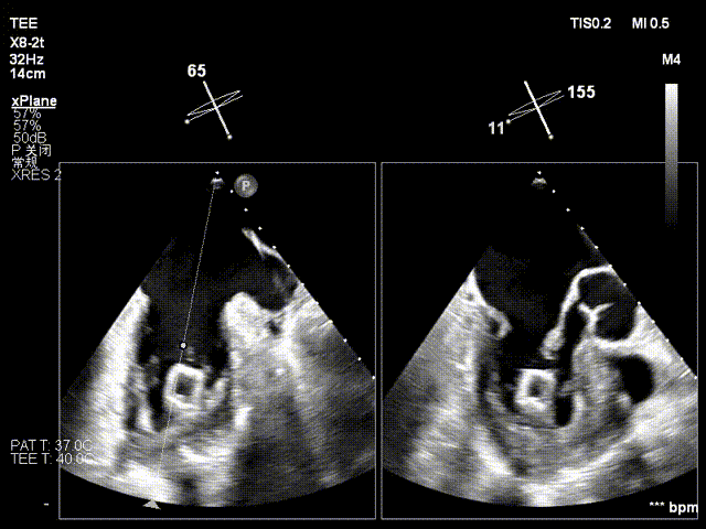
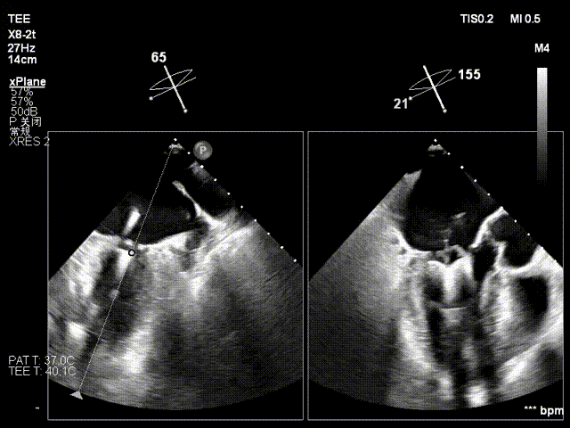
术中操作(关键步骤超声)











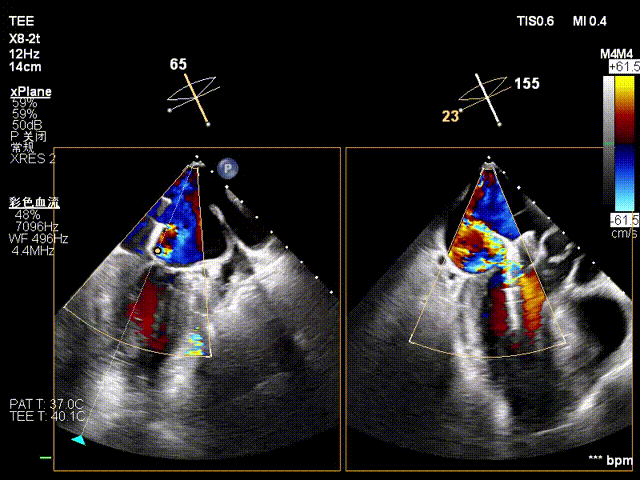
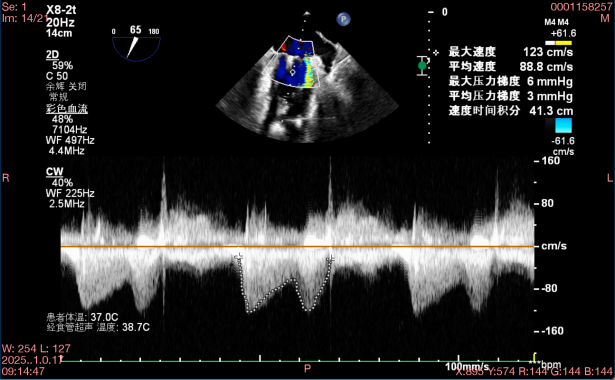
在全麻下,于心尖入路完成ValveClamp®装置植入。术中多学科团队密切配合,超声全程实时指导操作。最终,于2偏3区成功植入一枚Ⅲf夹子,一次夹合完成。前叶夹合量12mm,后叶夹合量10mm,反流降至1+,导管操作时间30分钟。术后平均跨瓣压差3mmHg。


术前反流 术后反流






术中剪影