结构性心脏病
前沿探索者
STRUCTURAL HEART DISEASE
2019年3月5日中午,复旦大学附属中山医院葛均波院士团队的周达新教授、潘文志副主任医师,心外科的魏来教授、杨晔主治医师,心超室的潘翠珍教授、李伟主治医师,麻醉科的郭克芳教授,使用最新一代心脏超声机器Philips EPIQ 7C,完成一例经心尖二尖瓣夹合术。新一代超声机器分辨率高,图像处理速度快,图像界面舒适,使得手术非常顺利。导管操作时间(从穿刺心尖到闭合心尖时间)仅10分钟。患者术后即刻效果满意,反流从重度减少到轻微。本例是国内首例使用最新一代心超机器Philips EPIQ 7C的X8-2t食道探头进行术中经食道超声,采用TrueVue心腔镜成像技术指导心脏介入手术,获得满意的结果。
患者为78岁老年男性,二尖瓣前叶A2脱垂,伴重度二尖瓣反流。患者同时合并严重肺部疾病,身体虚弱,不能耐受传统外科手术,故选择微创的心脏不停跳经心尖二尖瓣夹合术(ValveClamp)。
区别于传统外科手术及目前胸腔镜下的微创手术,ValveClamp经心尖二尖瓣夹合术无需开胸及切开心脏,无需心脏停跳,只在心前区切开3cm切口,穿刺心脏送入器械进行手术操作,是一种“在跳动的心脏上完成的超微创手术”。相对同类国外器械,该器械操作非常方便,导管操作时间仅为国外的五分之一。
本例手术使用TrueVue实时三维双容积视野同时显示二尖瓣左房观和左室观,画面清晰,界面友好,使得手术操作“如虎添翼”,更加便捷和安全。本例手术导管操作总时间(从穿刺心尖到闭合心尖)仅为10分钟。系列图像如下:

夹合术前:三维心超示A2脱垂

夹合术前:彩色多普勒示重度二尖瓣反流

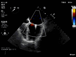
夹合术中:三维心超示输送鞘跨瓣

夹合术中:三维心超示夹合器捕获瓣叶

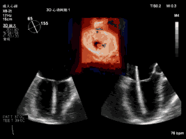
夹合术中(左房面观):三维心超示夹合后双孔征

夹合术中(左室面观):三维心超示夹合后双孔征

夹合术后:彩色多普勒示轻微二尖瓣反流
据悉,ValveClamp上市前的临床研究正在复旦大学附属中山医院、中国医学科学院阜外医院、四川大学华西医院、浙江大学医学院附属第二医院、首都医科大学附属北京安贞医院、广东省人民医院等全国10家著名心血管中心进行。