结构性心脏病
前沿探索者
STRUCTURAL HEART DISEASE

中国介入心脏病学大会(CIT)是亚太最大、世界第三大国际性会议,2019年3月28日CIT大会在北京如期隆重举行。今天,上海复旦大学附属中山医院心内科葛均波院士、周达新教授、潘文志副主任医师,心外科的魏来教授、杨晔主治医师,心超室的潘翠珍教授、李伟主治医师,麻醉科的郭克芳教授,使用我国自主创新器械ValveClamp(上海亚星首页医疗科技有限公司),成功完成二尖瓣夹合术1例。作为本届CIT重磅节目,葛均波院士团队向全世界展示了中国原创二尖瓣技术。

2017年美国心脏协会(AHA)/美国心脏病学会(ACC)指南建议:纽约心脏病协会(NYHA)心功能Ⅲ~Ⅳ级原发性重度二尖瓣反流患者,外科手术高危,可考虑经导管二尖瓣修复术。二尖瓣修复分为二尖瓣缘对缘修复、二尖瓣瓣环缩、人工腱索植入和左室重塑等。其中二尖瓣缘对缘修复技术适用范围最大,是目前最成熟、证据最充分、应用最广泛的经导管二尖瓣治疗技术。二尖瓣缘对缘器械MitraClip在2013年被首次批准应用于存在二尖瓣手术高危症的原发性二尖瓣反流患者。
基于2018年9月COAPT研究结果,2019年3月美国食品和药物管理局(FDA)将MitraClip适应证扩大为药物治疗效果不佳的伴发二尖瓣反流的心衰患者。ValveClamp是我国自主研发的首个进入正式临床试验的二尖瓣反流介入治疗器械,其技术原理也是基于二尖瓣缘对缘修复。

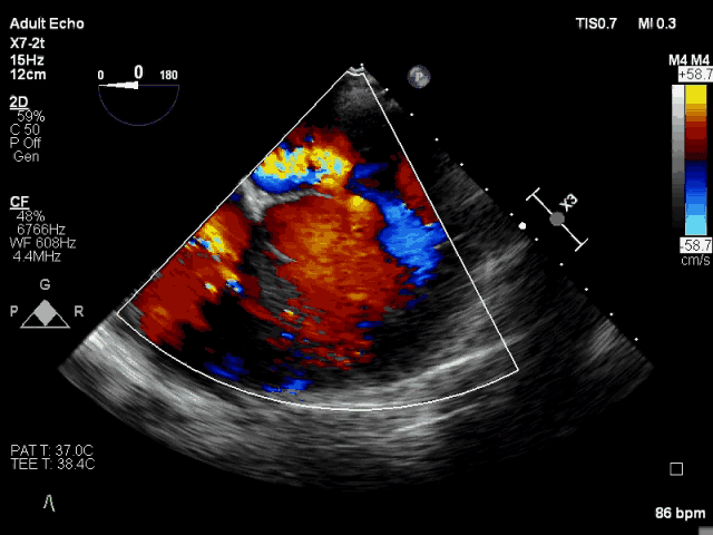
术前TEE CDFI示MR重度
此次手术直播患者为86岁老年女性,体重仅40Kg,二尖瓣后叶P2和P’1脱垂,极重度二尖瓣反流,同时合并重度肺动脉高压、中重度三尖瓣反流,STS评分11.05%,外科手术非常高危。患者二尖瓣后叶主腱索断裂,连枷锁间隙大,使用国外同类器械可能难以完成手术。

夹合即刻CDFI示轻微MR
ValveClamp二尖瓣夹合术是一种“在跳动的心脏上完成的超微创手术”,先在心前区切开3cm切口,在心脏超声指导下穿刺心脏送入器械进行手术操作。由于其输送系统型号更小,捕获范围更大,适应证更广,操作更简便,所以导管操作时间仅为国外五分之一。
此次转播心脏超声机器为最新一代Philips EPIQ 7C,使用X8-2t食道探头进行术中经食道超声,采用TrueVue实时三维双容积视野同时显示二尖瓣左房观和左室观。新一代超声机器分辨率高、图像处理速度快、图像界面舒适,使得手术非常顺利,手术转播的导管操作时间仅用8分钟。患者术后即刻效果满意,反流从重度减少到轻度。
目前,ValveClamp上市前临床研究正在复旦大学附属中山医院、北京阜外医院、四川大学华西医院、浙江大学医学院附属第二医院、北京安贞医院、广东省人民医院等全国10家著名心血管中心进行。ValveClamp的研发是我国二尖瓣反流介入治疗的重要里程碑,将推动二尖瓣反流介入治疗发展进入一个新阶段。