结构性心脏病
前沿探索者
STRUCTURAL HEART DISEASE
2019年9月22日,武汉亚心总医院(以下称“武汉亚心”)苏晞院长结构性心脏病团队,和复旦大学附属中山医院葛均波院士团队的周达新、潘翠珍教授共同完成1例经心尖二尖瓣夹合术(ValveClamp)术。
至此,武汉亚心短期内已连续成功完成5例经导管尖瓣修复术,所有患者术后二尖瓣反流均降至轻微或轻度,均取得满意的效果。武汉亚心也成为目前我国能够常规开展微创的经导管二尖瓣修复术的少数医院之一。

二尖瓣反流微创介入治疗是目前国际心脏病学最热门、最前沿的少数几个方向之一。
ValveClamp是我国自主研发的首个进入上市前临床试验的二尖瓣反流微创介入治疗器械,其手术是一种“在跳动的心脏上完成的超微创手术”,先在心前区切开3cm切口,在心脏超声指导下穿刺心脏送入器械进行手术操作。该手术具有创伤小,无需心脏停跳及体外循环,故安全性更高,尤其适合于无法耐受传统外科手术的老年患者。

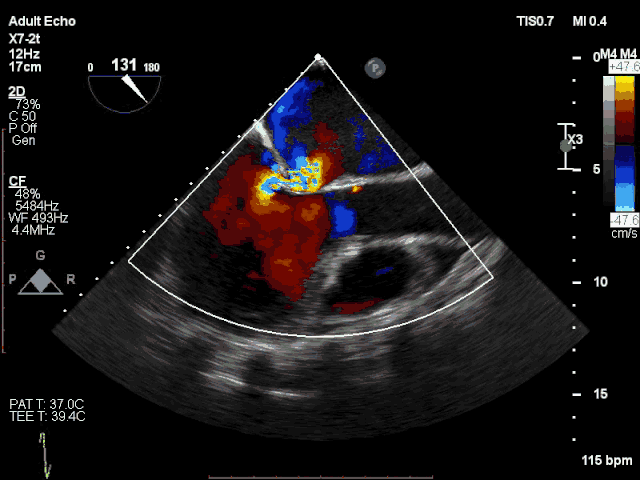
患者术前心超显示极重度反流
2018年,由复旦大学附属中山医院、中国医学科学院阜外医院、四川大学附属华西医院共同完成的一期临床研究显示,ValveClamp具有很高安全性和有效性,相关结果发表在国际权威杂志《JACC:cardiovascular intervention》上。

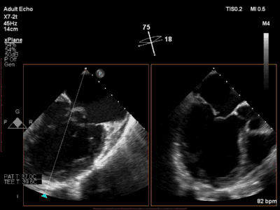
患者术前心超显示心脏扩大,严重脱垂
目前,ValveClamp上市前临床研究正在复旦大学附属中山医院、中国医学科学院阜外医院、四川大学华西医院、浙江大学医学院附属第二医院、北京安贞医院、广东省人民医院、武汉亚心总医院、武汉协和医院等全国10家著名心血管病中心进行。
ValveClamp的研发是我国二尖瓣反流介入治疗的重要里程碑,将推动二尖瓣反流介入治疗发展进入一个新阶段。

此5例手术成功,预示着武汉亚心结构性心脏病团队继在国内较先开展微创主动脉瓣介入治疗后,紧跟国际步伐,迈入二尖瓣微创介入治疗新阶段。