结构性心脏病
前沿探索者
STRUCTURAL HEART DISEASE
近日,福建医科大学附属第一医院心脏大血管外科邱罕凡教授团队连续成功开展4例经心尖二尖瓣缘对缘修复术(TA-TEER),所用器械为国产创新产品 ValveClamp®。本次手术对象均为外科手术高危 、二尖瓣原发性或继发性反流中重度及重度以上患者,且合并多种复杂基础疾病。在多学科团队(MDT)协作下,手术顺利圆满完成,术后二尖瓣反流显著改善,左心功能恢复良好。此次连续成功实施四台经心尖TEER手术,不仅彰显了该团队在结构性心脏病介入领域的专业能力,也为高风险瓣膜病患者提供了切实可行的微创治疗新选择。
病例回顾
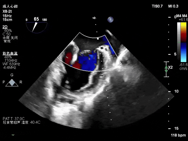
【CASE1】
患者信息
女性,71岁
主诉:心悸、气促1年余,近1月加重
合并症:高血压20余年,左右心房增大,肺动脉高压,主动脉瓣钙化伴轻度反流,三尖瓣重度反流,心功能Ⅲ级,心房颤动
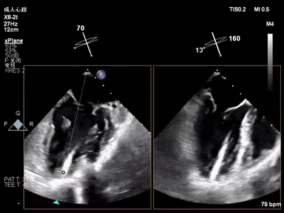
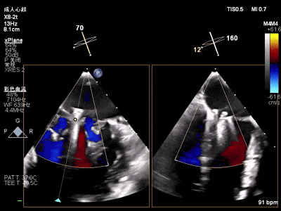
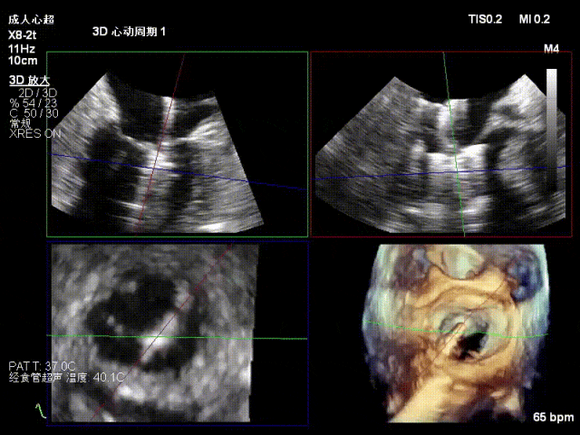
术前心超
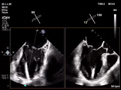
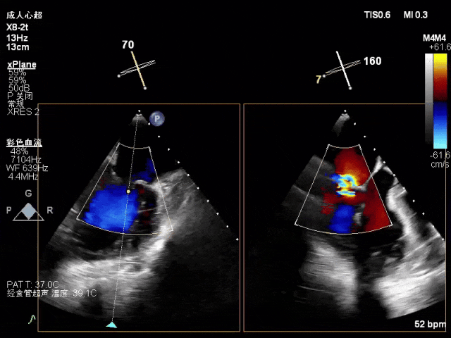
二尖瓣前叶脱垂,功能性二尖瓣反流(FMR),新分型:DAA型
A2瓣叶脱垂、瓣尖对合错位,反流2区,MR 4+,VC:5×12mm


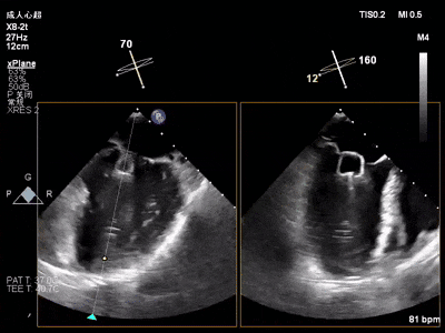
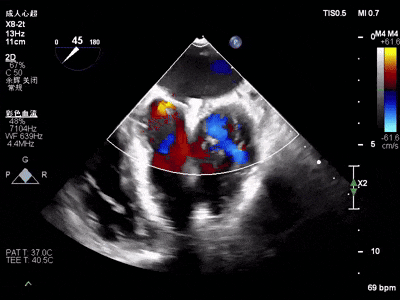
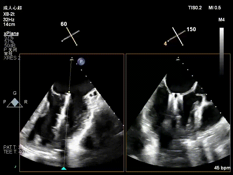
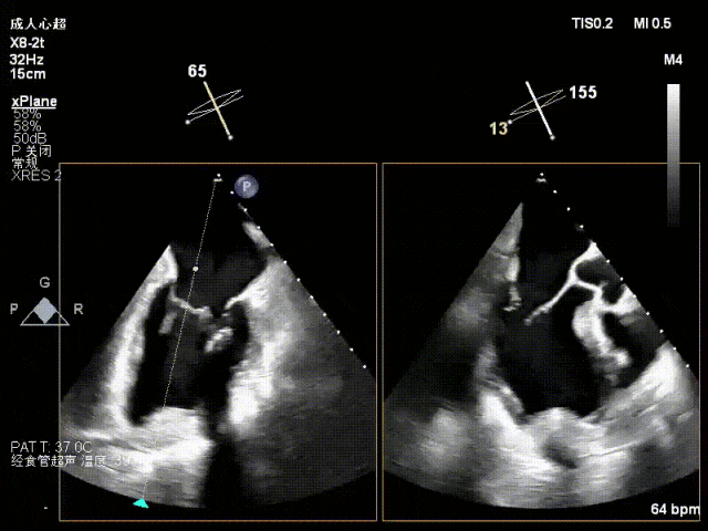
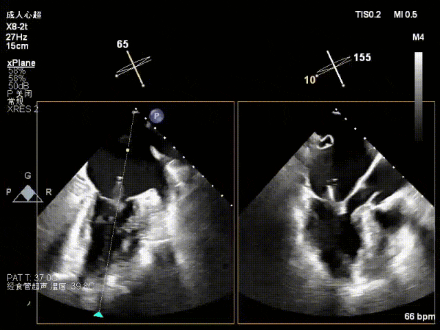
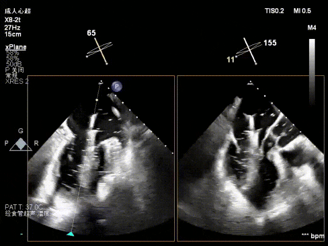
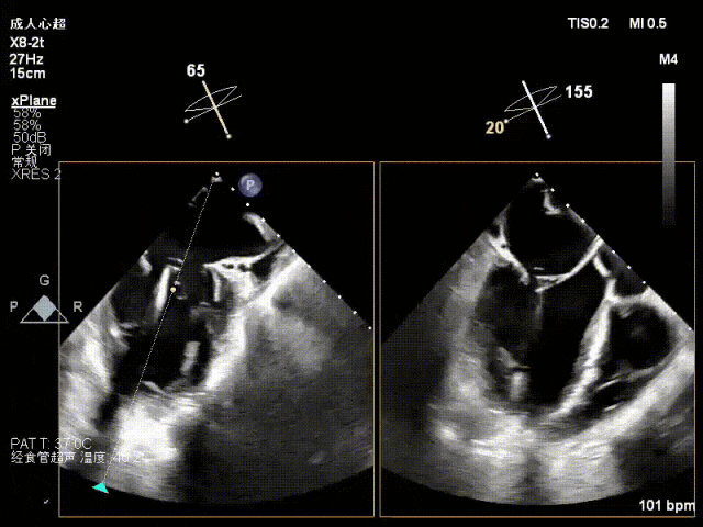
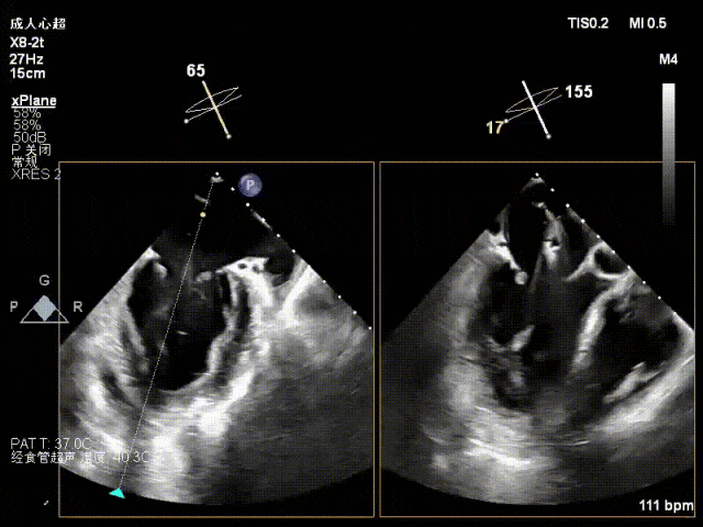
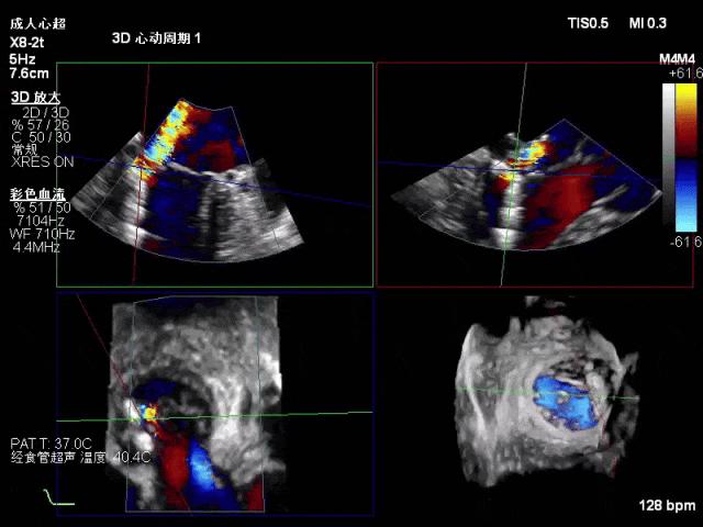
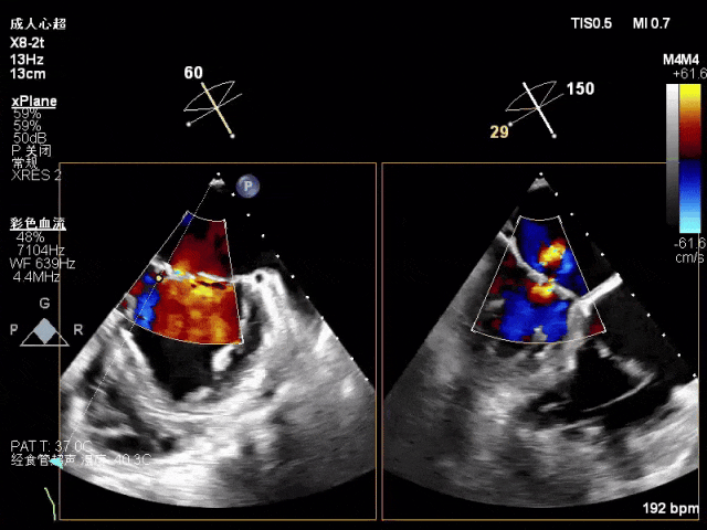
术中超声(关键步骤)








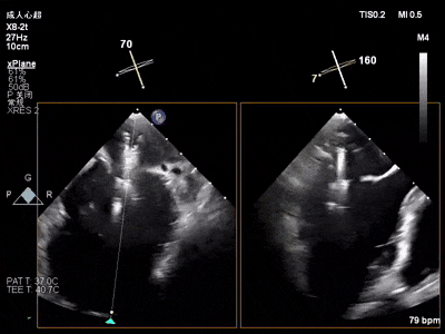
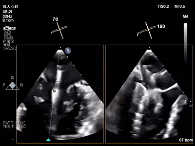
术前术后对比图

术前

术后
术后,出院检查报告显示夹子位置固定,无移位,二尖瓣轻度反流,左室大小和LVEF值正常范围,左室壁运动分析未见明显异常。
【CASE2】
患者信息
男性,74岁
主诉:右上腹痛伴眼黄、皮肤黄染6天
合并症:
心功能不全、心房颤动、肺动脉高压、肺炎、低蛋白血症、胆总管结石伴胆管炎、胆囊结石伴胆囊炎、梗阻性黄疸、肝肾功能不全、高血压
术前心超
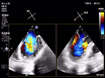
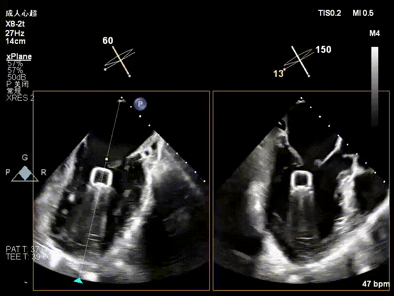
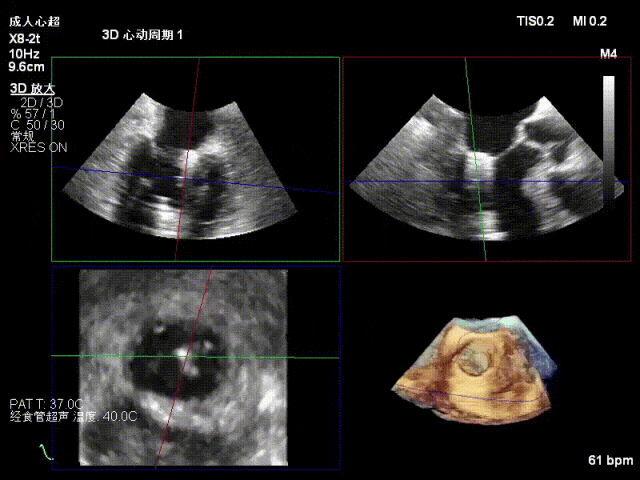
混合性MR,P2脱垂连枷(脱垂范围15mm,连枷间距4mm),腱索断裂
新分型:ACA型,反流2区及两侧,MR 4+,VC:3×14mm
A2:24mm,P2:17mm,AP:38mm,MVA约5.7cm²


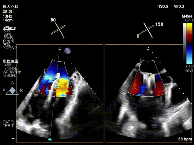
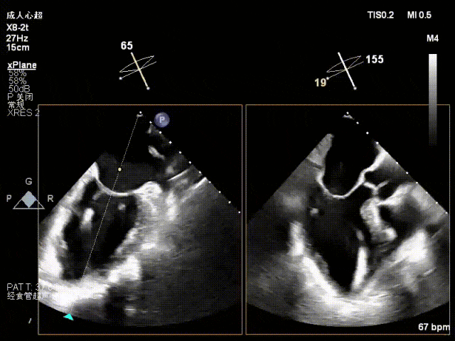
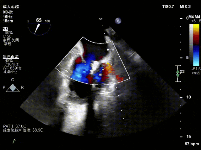
术中超声要点:










术前术后对比图:

术前

术后
术后,出院检查报告显示夹子位置固定,无移位,二尖瓣轻度反流,左室大小和LVEF值正常范围,左室壁运动分析未见明显异常。术后两个月随访检查,状态稳定,夹子位置固定,二尖瓣轻度反流,左室大小和LVEF值正常范围,左室壁运动分析未见明显异常(左室壁运动记分指数1分)。
【CASE3】
患者信息
女性,80岁
主诉:胸闷、气促1月余
合并症:
窦性心动过缓、心功能Ⅲ级、心脏扩大、Ⅰ度房室传导阻滞、高血压、肾功能不全、冠心病、膀胱癌、脑萎缩等多系统疾病
术前心超
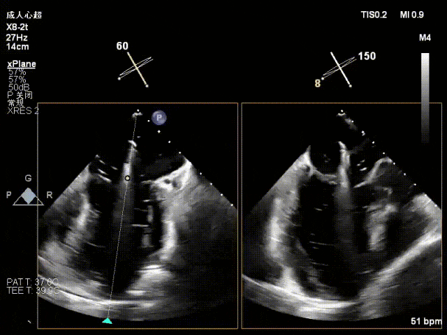
退行性二尖瓣反流(DMR),P1/P2交界脱垂连枷(脱垂范围7mm,连枷间距4mm)
新分型:AAA型,MR 4+,VC:4×7mm
A1.5:20mm,P1.5:10mm,AP:30mm,MVA约3.8cm²


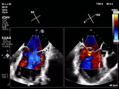
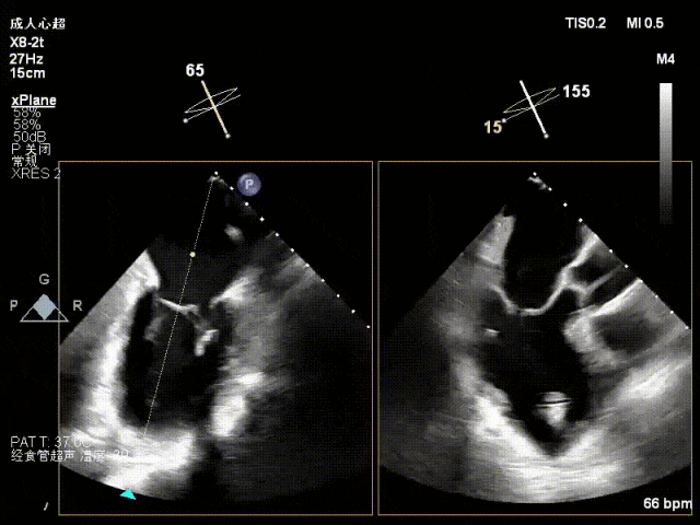
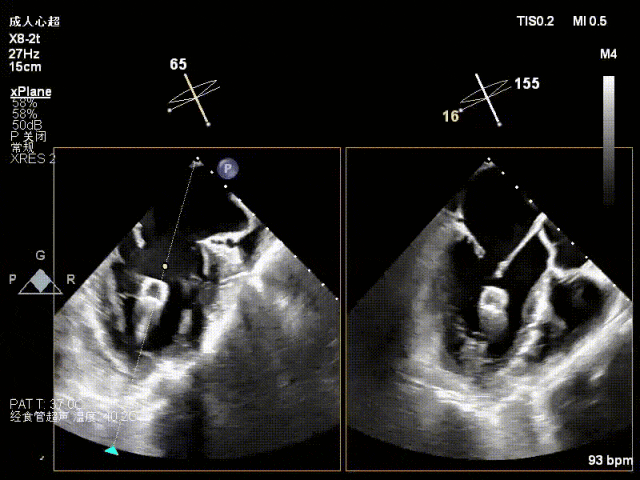
术中超声要点








术前术后对比图

术前

术后
术后,出院检查报告显示:夹子位置固定,二尖瓣轻度反流,左室稍大,LVEF值正常范围,左室壁运动分析未见明显异常(左室壁运动记分指数1分)
【CASE4】
患者信息
男性,78岁
主诉:反复心悸2年余,近1周加重
合并症:肺动脉高压、心房颤动、高血压、心功能Ⅲ级、三尖瓣中重度反流、主动脉轻度反流
术前心超
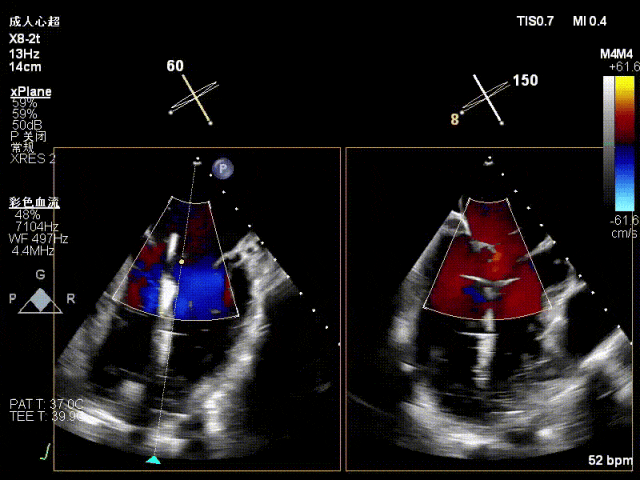
功能性MR,P3脱垂,新分型:BAA型
反流主要集中于3区,MR中度,VC:2×4mm
A2:24mm,P2:16mm,AP:38mm,MVA约4.6cm²


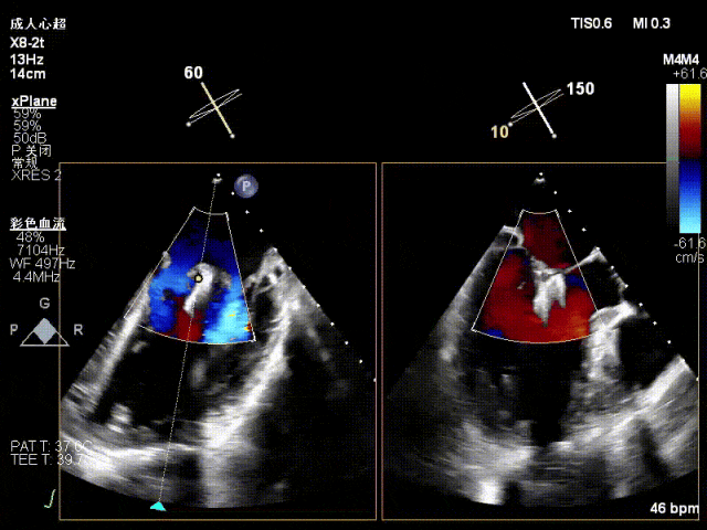
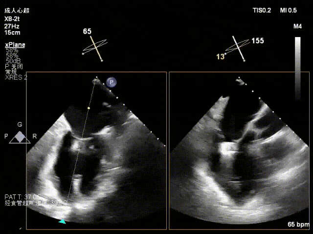
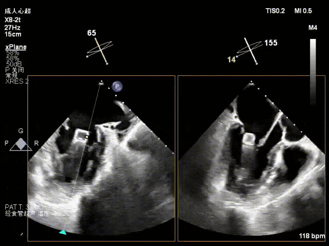
术中超声要点









术前术后对比图

术前

术后
术后,出院检查报告显示夹子位置固定,二尖瓣、三尖瓣及主动脉轻微反流,左房增大,左室内径正常上限,EF值正常下限(WMSI 1分)。




(术中剪影)
随着经导管瓣膜修复技术在国内的不断推广,福建医科大学附属第一医院心脏大血管外科积极探索并成功应用经心尖ValveClamp®进行微创二尖瓣钳夹术,在高龄高危、复杂瓣膜病患者中的临床实践积累了宝贵经验,为我国TEER技术的临床拓展提供了有力范例。
【临床科室介绍】

福建医科大学附属第一医院心脏大血管外科是福建省重点学科,集医疗、教学、科研于一体,擅长复杂先心病、瓣膜病、冠心病、大血管疾病及心脏移植的诊治。科室拥有微创手术、杂交手术等先进技术,年手术量超千例,且承担教学与科研任务,居省内领先水平。团队以精湛技术、优质服务为特色,获多项国家级及省级科研成果,致力于推动区域心血管外科发展,守护患者“心”健康。
【医院介绍】

福建医科大学附属第一医院(以下简称“医院”)创建于1937年,是福建省首家公立西医医院。历经抗战的硝烟,告别动荡的岁月,百折不挠的附一人秉承“践行立德树人,守护生命安全,推动医学进步,促进人民健康”的使命,将医院建设成为福建省集医疗、教学、科研于一体的大型综合性三级甲等医院。医院综合实力雄厚,是福建省高水平医院,并被国家发改委、国家卫健委确定为首批全国疑难病症诊治能力提升工程项目医院和中国罕见病协作网福建省牵头单位。在国家卫健委公布的三级公立医院绩效考核中,连续5年荣获A+,位居全国第32名。医院荣登2023年研究型医院排行榜全国第33名,连续2年入选中国研究型医院,在2024年Nature发布的自然指数榜单中,位列全球医疗机构第284位,居福建省第一。与复旦大学附属华山医院共建的复旦大学附属华山医院福建医院(福建医科大学附属第一医院滨海院区)为全国首批10家国家区域医疗中心之一。