结构性心脏病
前沿探索者
STRUCTURAL HEART DISEASE
2025年6月26日,昆明延安医院李亚雄教授带领的心脏大血管外科团队运用二尖瓣夹系统ValveClamp®成功为一位高龄高危二尖瓣脱垂伴、腱索断裂伴主动脉重度关闭不全患者实施了二尖瓣缘对缘修复手术(TEER)+经导管主动脉瓣置换术(TAVI)。此次手术也是云南省本土团队昆明延安医院心脏大血管外科独立完成的云南省首例经心尖TAVI+TEER一站式手术。
二尖瓣反流是全球常见的心脏瓣膜疾病,总体人群发病率为1.7%,随年龄增长发病率升高。如果不积极治疗,会导致患者出现心律不齐、心衰、中风、甚至猝死的风险。二尖瓣重度反流的介入治疗一直是心血管介入领域的难点和热点,TEER已成为目前治疗二尖瓣重度反流的有效手段之一。

病例简介
患者:男性,79岁。
主诉:反复乏力五月余,伴出汗、胸闷、胸痛、头晕头痛
术前诊断
二尖瓣后叶脱垂、腱索断裂并伴重度关闭不全,双房内径增大,主动脉瓣中重度关闭不全,少量心包积液、室间隔增厚、左心室舒张功能降低。
术前检查
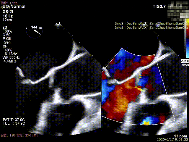
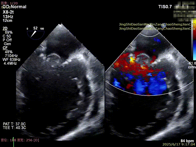
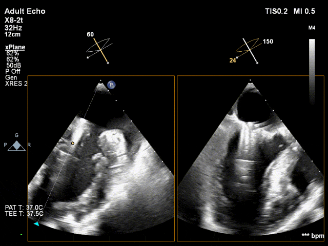
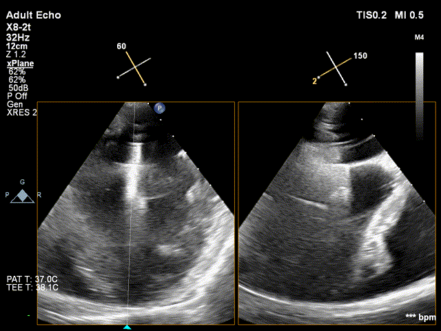
DMR:二尖瓣重度反流5+,P2区脱垂连枷,AP:38mm,MVA:6cm²,反流宽度14.2mm,反流2区,P2区脱垂范围14mm,连枷间距4mm,脱垂高度6.6mm,瓣环直径37mm。
二尖瓣后叶脱垂、腱索断裂并伴重度关闭不全,双房内径增大,主动脉瓣中重度关闭不全,少量心包积液、室间隔增厚、左心室舒张功能降低。
术前讨论
术前,在心外科主任李亚雄教授的主持下,心外科副主任张雅永副主任医师、李华副主任医师,心脏超声王庆慧主任医师、李建华副主任医师以及麻醉医师等组成微创多学科团队共同讨论,对手术适应证及术中可能出现的并发症和应对策略进行了全面分析。经充分评估,决定实施经心尖二尖瓣缘对缘修复术。
手术策略
患者为原发性二尖瓣反流(DMR),基线期二尖瓣反流程度5+。反流主要位于2区,脱垂宽度约14mm,MVA约6cm²。为保证反流程度有效降低,需要在2区夹合器方向指向主动脉与二尖瓣闭合线垂直进行夹合。
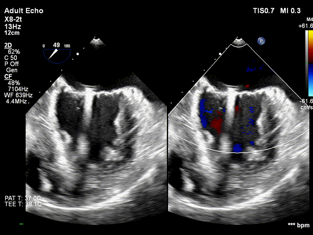
术前超声



术中操作
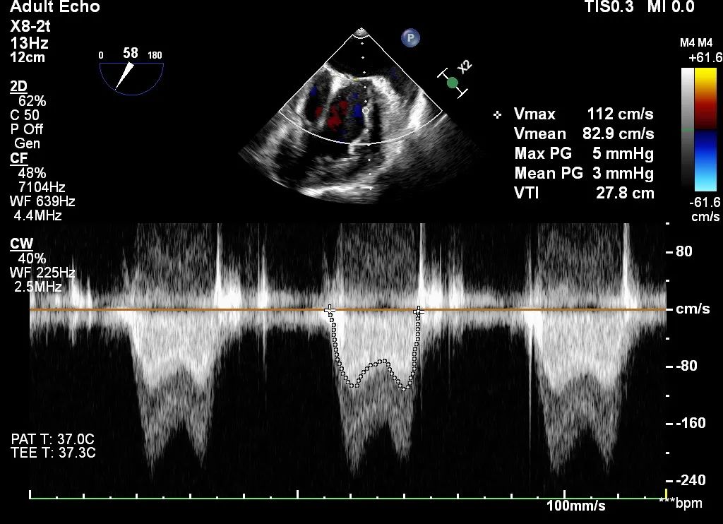
全麻后,首先在心前区的肋间切开3-4CM小切口,暴露心脏的心尖位置,心尖穿刺后进入导丝,利用导丝交换导管鞘完成通路建立。将系统送入左心房,顺利到达二尖瓣病变区域。在经食道超声引导下,术者通过反复评估二尖瓣反流位置、抓捕位置、反流程度,在2区主动脉瓣与二尖瓣闭合线垂直进行巧妙夹合,最终植入一枚ValveClamp®MVC-Ⅲf夹。超声评估夹子固定良好,组织桥完整,无葫芦征,位置、轴向均符合预期。患者术后反流程度从大量转至少量,手术取得圆满成功。患者恢复良好,已经顺利出院。
手术回顾


J-valve瓣膜释放前造影 猪尾导管造影确定瓣环平面


送入16F导管鞘 网状球形跨瓣器,遇腱索缠绕会发生形变


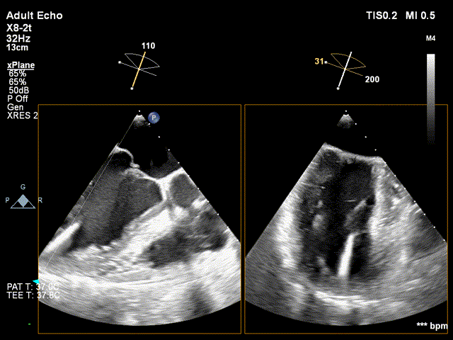
捕获瓣叶,进行夹合 3D切面调整位置及钟向


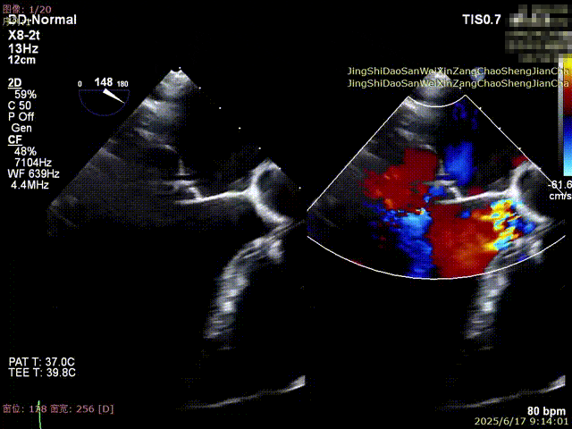
反流得到明显改善 术后3D动图

术后平均跨瓣压差3mmHg
手术剪影


昆明市延安医院心脏大血管外科
昆明市延安医院心脏大血管外科,始建于1972年,现为国家临床重点专科、云南省心脏疾病临床医学中心、云南省心血管疾病临床医学研究中心、云南省心血管疾病重点实验室,是云南省心脏大血管外科学领域的医疗、教学、科研及人才培养基地。心脏大血管外科医疗团队是“云南省心血管外科治疗技术创新团队”,医护人员260人,外科床位168张,ICU床位50张,专用层流手术室9间,杂交手术室1间。
医疗服务能力全面覆盖本专科疾病种类和手术类型,完全覆盖国家卫健委《三级综合医院医疗服务能力指南(2016年版)》中的心脏大血管外科的疑难重症诊疗基本标准和推荐标准,关键诊疗技术基本标准和推荐标准。实施亚专业发展战略,设置主动脉外科(大血管疾病)、微创心脏外科、冠心病外科、婴幼儿心脏外科(先天性心脏病)、成人心脏外科、心脏移植六个亚专业。年心脏大血管手术量大于3000例,年体外循环手术量大于2500例,连续53年位居云南省首位(2021年,位列全国第十三位),手术死亡率低于1%。率先开展的多项手术技术填补了云南省的空白。
微创心脏外科亚专业,年手术量大于1100例,常规开展手术技术包括:介入手术、机器人手术、胸腔镜手术、小切口手术;病种包括:瓣膜病、冠心病、先心病、大血管疾病、心脏肿瘤等。成立心脏瓣膜介入中心,常规开展主动脉瓣、二尖瓣、三尖瓣、肺动脉瓣全部四个瓣膜介入手术。